Good afternoon 👋
10almonds tip: mix an 8:1 ratio of Vaseline with lemon juice for a vitamin-infused lip balm that works a lot better (and lasts longer) than commercial lip balms. You’ll need to gently heat the Vaseline to be able to mix it; we suggest using a bain-marie. Don’t sweat about the 8:1 ratio; approximate is fine, e.g. 2 tbsp lemon juice in a standard size tub of Vaseline. When it’s back to room temperature, you’ll notice that consistency is softer than before; that’s because we added lemon juice, and the consistency is as it should be.
In today’s email we cover a surprisingly easy (and for most people, quite accessible) weapon against the flu, moringa oleifera, and how to lose inches, not weight!
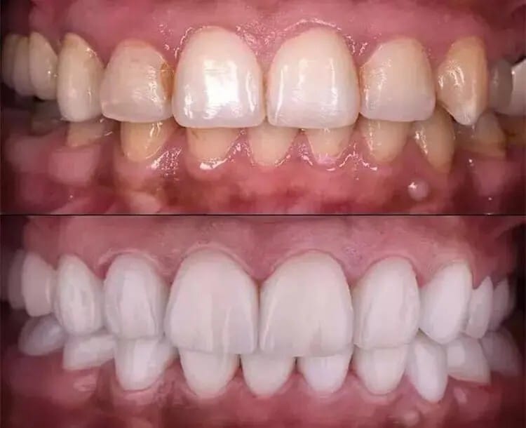
How are your teeth looking? Perfectly smooth and white? Or perhaps a little the worse for a black coffee or three? Maybe even some tartar build-up, but going to the dentist isn’t on your to-do list this December?
Take a moment to check out our partner Denta Blast—you’ll be glad you did!
They’re offering a game-changing piece of kit (that’s a lot gentler than the name makes it sound!) that’ll have your dentist wondering what your secret is.
So if you’d like your dentist to think you’ve been sneaking off to another dentist behind their back, then get yourself one of these and start using it now!
Today’s Main Feature
A Surprisingly Easy Weapon Against The Flu
In principle, almost everyone has access to this:
Recommended Reading
*An asterisk indicates a sponsored post
Watch and Learn
The Secret Behind Losing Inches, Not Weight
“Ignore the numbers on the scale” turns out to be good advice:
Prefer text? The above video will take you to a 10almonds page with a text overview, as well as the video!
Our Sponsors Make This Publication Possible
How To Easily Remove Dental Plaque, Tartar & Calculus In 5 Minutes Without Going To The Dentist
Most of us have fought this battle at some point, and often without success.
So, can it really be done, outside of a dentist’s office?
And the answer is: yes! It takes a few minutes per day, and there are no abrasive chemicals involved, just a safer version of a tool that most dentists use.
If you’re curious, you can see it in use, here 😎
And if you’d like to try it for yourself, then…
Please do visit our sponsors—they help keep 10almonds free
This Or That?
Vote on Which is Healthier
Yesterday we asked you to choose between apricots and lychees—we picked the apricots (click here to read about why), as did 66% of you!
Now for today’s choice:
Click on whichever you think is better for you!
Penny For Your Thoughts?
What did you think of today's newsletter?
Wishing you the very best of health every day, in every way,
The 10almonds Team







